Digital Opg

Panoramic And Cephalometric Imaging CS 8100

An ideal blend of simplicity and sophistication, the CS 8100 truly redefines panoramic imaging. Designed to make your daily work easier and more intuitive, the system features a variety of tools to make positioning easier, image acquisition faster, and higher image quality more accessible—exactly what you need to streamline your workflow, improve usability, and make more accurate, real-time diagnoses. For even more imaging options, take advantage of the CS 8100SC system—our all-new option that combines both panoramic and cephalometric imaging.

PRODUCT DESCRIPTION

  • Digital Panoramic Radiology Unit,controlled from a PCinterface face-to-face positioning.
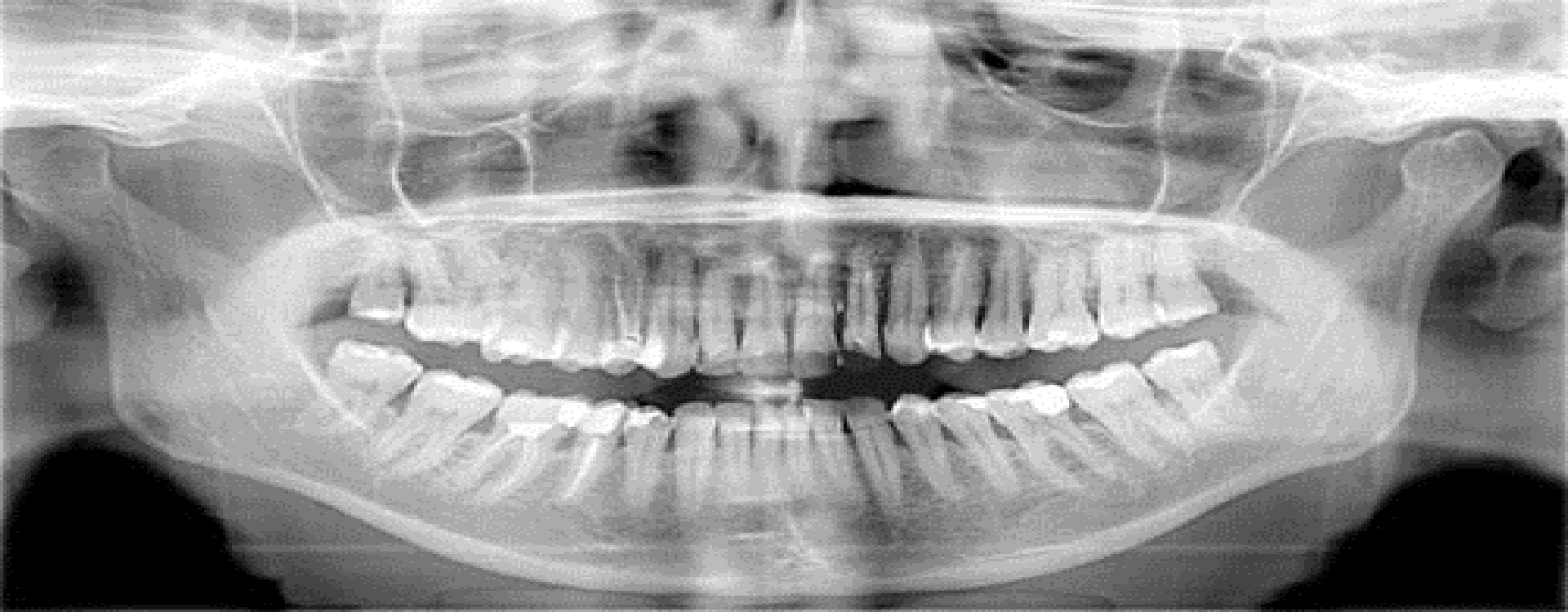
  • DigitalSensor– CMOS
  • MatrixDim.– 64X1,312pixels
  • GrayScales– 4,096(12bits)
  • HTGenerator–140KHz(max),60–90kV,2–15mA
  • LineVoltage– 230– 240V/60Hz
  • Focal SpotOf Tube– 0.5mm(IEC336)
  • Total Filtration- >2.5mmea.Al
  • Anode Voltage– 90kVmax
  • Imaging Procedures– Panoramic,SegmentedPanoramic,MaxillarySinus,
  • Lateral TMJ(2/4sections)
  • Exposure mode– 4programs in 4 sizes,user adjustable
  • Magnification– X1.2
  • Dimension– 330(L)x894(D)x1596(H)mm
  • Weight– 72Kg

Ultra-Compact

The CS 8100 is an ultra-compact unit that fits easily into tight spaces and provides all the tools you need to work more efficiently—without any unnecessary programs or gadgets.

Versatile installation possibilities Sleek aluminum body make unit extremely thin, light, and more robust Compact high-frequency X-ray generator with innovative horizontal design.

Optimized Positioning

The CS 8100 is designed to make positioning patients quick and simple.

Easily accessible for patients standing or sitting, and in wheelchairs Three anatomical programs intuitively adapt to patients’ jaw morphology Motorized movements provide precise and effortless height adjustments Open design, face-to-face positioning and clear instructions help position patients correctly Transparent patient support even helps hold the patient comfortably in place

Easy Integration

The CS 8100 features a simple workflow that aligns seamlessly with your practice’s current processes.

Connects directly to your network via Ethernet Imaging software can be used as a standalone program or integrated with existing practice management program Comprehensive imaging software also improves image sharing and communication.

Sharp, High-Quality Images

Featuring the very latest software processing algorithms, the CS 8100 minimizes spinal column shadows and produces clear and sharp digital images that are ready for review almost immediately.

High-frequency generator ensures radiation remains constant for optimal contrast An advanced Active Pixel CMOS sensor, vibration-free motion system, and 0.5 focal spot make it easy to capture highly detailed, contrasted, and crystal-clear images in seconds Powerful artifact-free filters enhancing contrast and sharpness with a single click

CARESTREAM DRYVIEW 5700 Laser Imager

The DryView 5700 Laser Imager offers simplicity and affordability for healthcare facilities of all sizes. This innovative tabletop medical imaging system offers a modest acquisition price, which is half of the affordability equation. It also delivers consistently low operating costs. This combination creates a complete picture of true affordability. It’s ideal for computed radiography (CR), digital radiography (DR), computed tomography (CT), PACS Viewer, and magnetic resonance (MR) applications.