Crooked and crowding of teeth

dental treatment in vibhuti khand lucknow

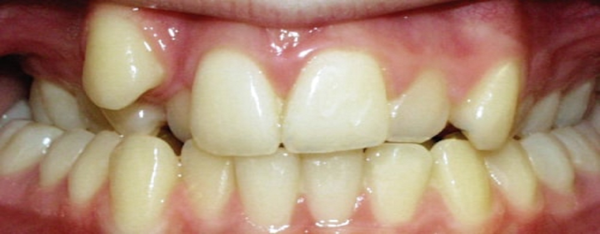
Crooked And Crowding Of Teeth

  •    Crowded teeth can be caused by several factors, including jaw displacement, irregular tooth size, past dental trauma and a cleft lip or palate.
  •    Crowded teeth can create several dental issues, including premature wear, gum disease, and jaw and joint pain and damage.
  •    Crowded teeth can be easily fixed, especially through early intervention.
  •    Addressing crowded teeth will give you the best chance of enjoying life-long dental health.

Crowded teeth and irregular teeth are caused by a disharmony between the size of your teeth and the size of your jaw; your jaw might be too small for your teeth, or your teeth too large.

Other causes of crowded teeth include a cleft lip or palate, having extra teeth or problems as a result of a jaw fracture. There are also a number of factors that can contribute to crowded teeth:

  •    Tongue thrusting
  •    Reverse swallowing
  •    Thumb sucking
  •    Mouth breathing
  •    Allergies and asthmas

dental treatment in vibhuti khand lucknow

The problems caused by crowded teeth extend much further than just aesthetics. If your teeth are aligned properly, then they will last a lifetime. If not, you’ll find that you suffer from premature wear, teeth lost from unusual stresses, gum disease and jaw joint damage.

Crowded teeth are a common problem in both children and adults: 3 out of 4 children have incorrectly developing jaws. Treating this at a young age may result in less intervention later on in life.