Cleaning and polishing of teeth

Best Dental clinic in gomti nagar extension

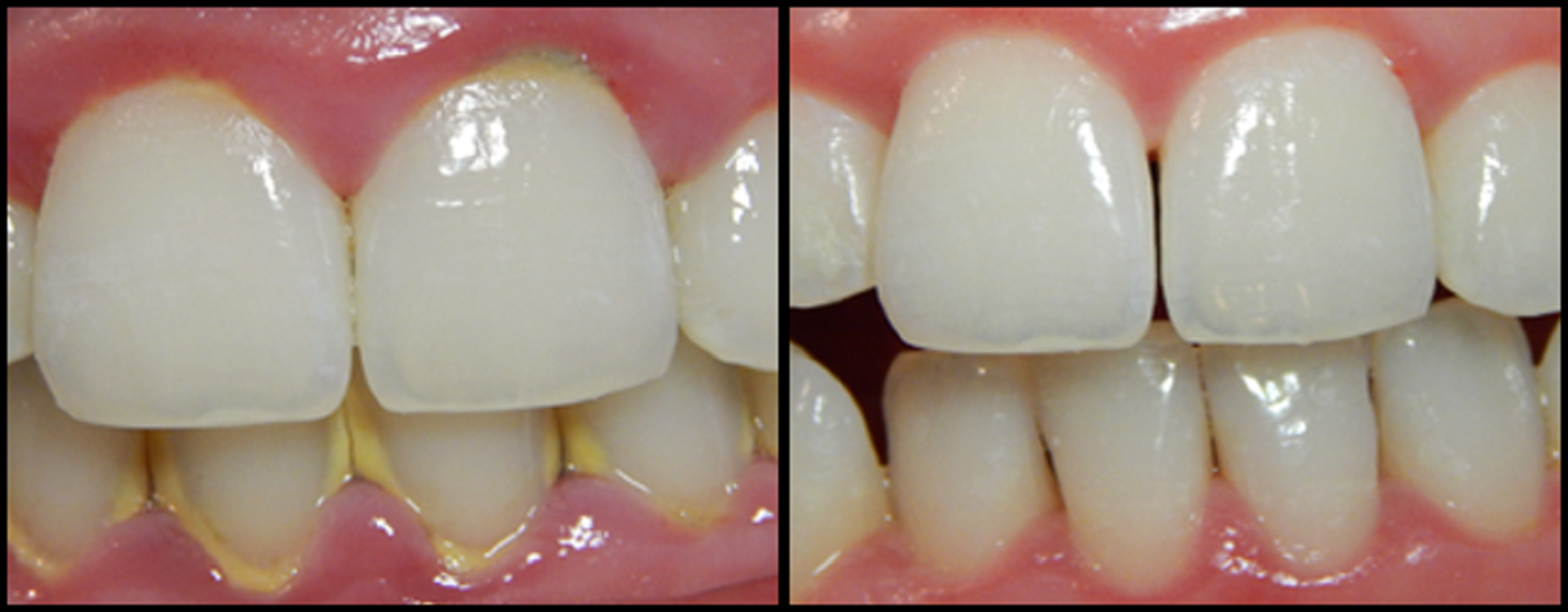
Cleaning and Polishing of teeth

The most important and valuable visit for you would be for a dental clean and check-up. Teeth cleaning & teeth polishing allows the dentist to maintain your oral hygiene & health. At the same time, regular dental cleaning & checkups are important to prevent dental diseases from developing. Daily brushing/ rinsing with antiseptic mouthwash might not be enough to maintain a good oral health in the long term.

Regular dental teeth cleaning and polishing is the cornerstone for a lifetime of dental health and the best insurance you can have for keeping a healthy and attractive smile!

How often do we need to go for dental checkups?

To maintain good oral health, it is vital to visit your dentist every 6 months. Going for your regular check-ups helps keep your gums and teeth healthy. It also allows early detection of any problems such as gum disease, cavities and oral cancer.

Why do you need to do scaling & polishing?

  •    To remove stains caused by food (coffee / tea) or tobacco.
  •    To remove tartar or calculus – this helps prevent gum diseases which are the main cause of gum recession, loose teeth and subsequently, tooth loss.
  •    To allow screening for oral disease like decay and any cavities.
  •    To learn about how best to keep your teeth and gums clean and healthy.

What are the procedures which are involved in scaling & polishing?

Scaling Specialized instruments are used to gently remove plaque and calculus deposits without harming your teeth. The ultrasonic scaler uses vibrations to loosen hardened tartar that sticks to the teeth/in between teeth. Water spray is also used to wash away the debris. There may be a high pitch buzzing sound heard from the scaler during the scaling process.

Polishing Polishing is usually carried out after scaling to remove stains and make your teeth feel smooth and shiny. Polishing is done with a soft rubber cup that spins. Prophylaxis paste – a special toothpaste-like material is scooped up into the cup and spun around on the teeth. Prophyjet polishing uses a pressurized spray of air and water with sodium hydrogencarbonate powder to remove stains, plaque and soft debris from your teeth. It may taste slightly salty.

What is the difference between teeth whitening and scaling & polishing?

Teeth can become more yellow with age and with continuous consumption of dark staining foods like coffee, tea, red wine or tobacco.

Teeth whitening is a cosmetic dental procedure that lightens pigmentation within the teeth. Scaling and polishing is a procedure that removes dental plaque, tartar and extrinsic stains that are present on the outer surface of the teeth.

Scaling and polishing cleans your teeth, preventing and controlling the severity of gum diseases. After scaling & polishing, teeth can appear lighter if there are many stains on the outer surface of the teeth. If the intrinsic colour of teeth is very yellow, there will be no changes after teeth cleaning as the yellow colour comes from inside the tooth.